Cosmetic dentistry can transform your smile and boost your self confidence.


At Continental Center Dental Clinic, we provide porcelain veneers that are glued to the front of your teeth to whiten your teeth and close unsightly spaces.

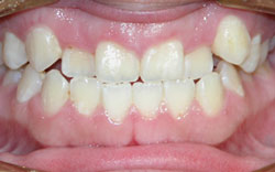
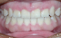
Invisalign is the clear alternative to metal braces. It uses a series of invisible aligners to move your teeth discreetly. It employs high technology to move your teeth fast and efficiently.


Dental implants are used to replace missing teeth. A dental implant is the closest thing to a natural tooth in terms of form and function.

The procedure is usually simple and painless. The titanium implant is inserted into bone where the tooth used to be. After a few months, the bone cells will grow onto the titanium surface and the implant becomes part of the bone.

Implants can replace single or multiple missing teeth and also help stabilize loose dentures.
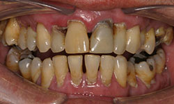
Do your gums bleed when you brush or floss? Do you have bad breath? Are your teeth loose and wobbly? If you have the above symptoms, you likely have gum disease. Maintaining healthy gums is crucial in making your teeth last longer. Your teeth will be less sensitive, less prone to root caries, and better able to enjoy a variety of food.

Every 6 months, you should see your dentist for a checkup. In that appointment, dental plaque and calculus will be removed and your teeth will be polished. If you have gum disease, your dentist may recommend you to have cleaning done every 3 months. Sometimes, gum surgery may be needed to allow you to clean your teeth better.
